+918045133523
Currently it only shows your basic business info. Start adding relevant business details such as description, images and products or services to gain your customers attention by using Boost 360 android app / iOS App / web portal.

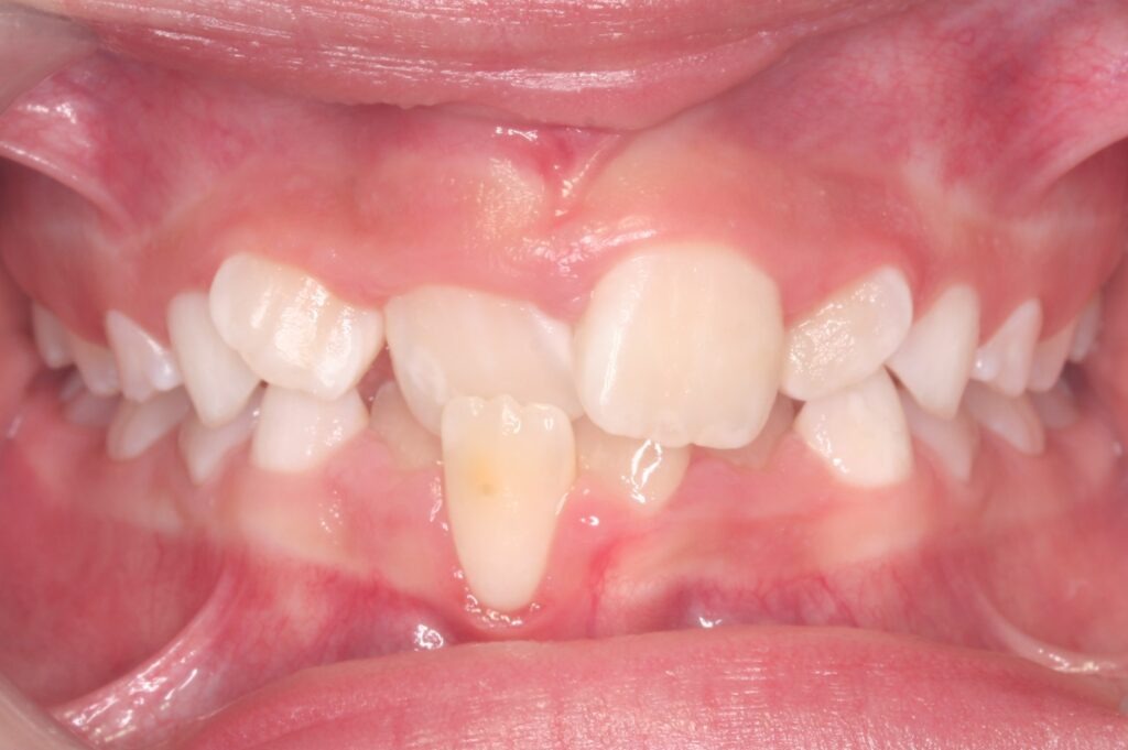
Does your childs teeth look like this? Anterior crossbite is a malocclusion where one or more upper front teeth bite behind the lower front teeth, often causing functional shifts, tooth wear, or periodontal issues. Early correction (typically ages 7–10) is recommended to guide proper jaw growth, with treatments including braces, removable retainers, or functional appliances, usually lasting 1.4–6.9 months. Best Orthodontist in Santhosapuram Best Myofunctional appliance in Sembakkam Best Braces specialist in Vengai vasal Best Aligner specialist in Gowrivakkam Best Orthodontist in Medavakkam Best Myodunctional Orthopedic appliance in Selaiyur