+918045133523
Currently it only shows your basic business info. Start adding relevant business details such as description, images and products or services to gain your customers attention by using Boost 360 android app / iOS App / web portal.

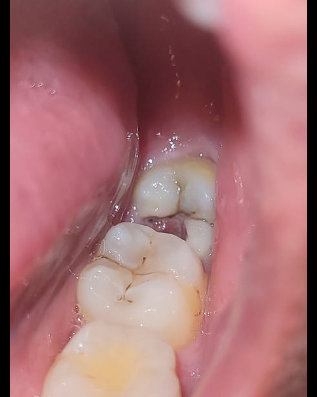
An impaction of the third molar, commonly known as an impacted wisdom tooth, occurs when the tooth fails to erupt fully into its normal functional position because it is blocked by another tooth, bone, or soft tissue. The primary cause is a mismatch between the size of the teeth and the available space in the jaw.While some impacted teeth remain asymptomatic, many cause significant issues: Pain and Swelling: Localized discomfort, jaw stiffness, and facial swelling., Pericoronitis: Inflammation and infection of the gum flap covering a partially erupted tooth., Tooth Decay: Impacted teeth are difficult to clean, making them and the adjacent teeth prone to cavities., Cysts and Tumors: In rare cases, the sac around the tooth can fill with fluid, potentially damaging the jawbone and nerves. Treatment Options Watchful Waiting: If the tooth is completely buried, asymptomatic, and disease-free, a dentist may monitor it with regular X-rays from sources like the NHS. Extraction: The most common treatment involves surgical removal, often recommended for teeth causing pain or infection. Coronectomy: Removing only the crown while leaving the roots to protect a nearby nerve. Best Dental Clinic in Santhosapuram Best Dental Surgeon in madambakkam Best tooth removal procedure in Gowrivakkam Best Wisdom tooth removal in Sembakkam Best Dental clinic in Kovilambakkam Best wisdom tooth removal in Medavakkam